Dehydratace je nedostatek tekutin v těle. Ohrožuje především děti a staré lidi.

Svalová dystrofie u dětí je vzácná genetická porucha, která se projevuje svalovou ochablostí zhoršující se s přibývajícím věkem dítěte. Nejčastěji se objeví Duchenneova svalová dystrofie a Beckerova svalová dystrofie. Dítě ztrácí sílu v končetinách, má potíže s chůzí, dochází k deformaci rostoucích kostí, ztíženému dýchání, narušení činnosti srdce a může se objevit i mentální retardace. V současné době bohužel neexistuje speciální léčba svalové dystrofie. Příznaky je možné zmírnit pomocí berlí, invalidního vozíku a dalších pomůcek.
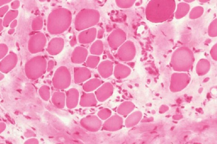
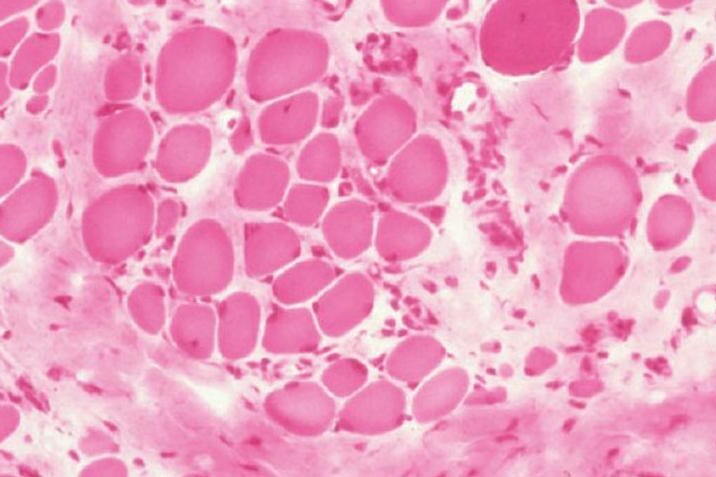
Svalová dystrofie je vzácnou dědičnou genetickou poruchou projevující se svalovou ochablostí, která se zhoršuje s přibývajícím věkem dítěte. Svalové buňky odumírají a jsou nahrazovány tukem a pojivovou tkání.
Existuje devět forem svalové dystrofie, nejčastěji však děti postihují dvě formy - Duchenneova svalová dystrofie a Beckerova svalová dystrofie. Jde vlastně o stejnou nemoc, pouze Duchenneova svalová atrofie se vyvíjí u dětí v ranějším věku a postupuje rychleji. Obě formy postihují většinou pouze chlapce, dívky však mohou být nositeli nemoci.
U kojenců mohou některé známky vypadat jako opožděný vývoj nebo svalová ochablost, zjevnou se však svalová dystrofie stává až kolem 3 let věku.
Zjistíte-li u svého syna příznaky svalové dystrofie, ihned vyhledejte lékaře. Lékař stanoví diagnózu svalové dystrofie na základě krevního testu, kterým zjistí hladinu některých bílkovin v krvi. Dále nechá chlapci provést elektromyografii (vyšetření, které analyzuje elektrickou aktivitu ve svalu a ukáže, co je příčinou svalové ochablosti). Diagnózu je rovněž možné potvrdit biopsií svalové tkáně.
V současné době neexistuje speciální léčba této nemoci. Příznaky je možné zmírnit pomocí berlí, invalidního vozíku a dalších pomůcek, které chlapci usnadňují a pomáhají zvládat každodenní život. Fyzioterapie pomáhá posilovat svaly a udržovat pohyblivost kloubů. Snažte se udržovat postiženého syna v neustálé činnosti; dlouhodobý pobyt na lůžku příznaky pouze zhorší. Lékař zpravidla doporučí, aby celá vaše rodina navštívila genetickou poradnu.
