Dehydratace je nedostatek tekutin v těle. Ohrožuje především děti a staré lidi.

Brzlík neboli thymus je žláza, která obsahuje základní jednotky imunitního systému, lymfocyty. Je jisté, že brzlík se v prvních letech života podílí na vytvoření způsobu, jakým bude imunitní systém pracovat. Brzlík je součástí rozsáhlého imunitního sytému a jeho poruchy se mohou projevit prostřednictvím různých defektů imunity a někdy vést i k závažným nemocím.
V posledních několika desetiletích vyšlo najevo, že brzlík stojí v centru významné sítě navzájem propojených orgánů a tkání, které společně vytvářejí imunitní systém, jenž chrání organismus proti infekcím. O tom, jak vlastně brzlík (thymus) svou funkci vykonává, ještě nemáme zcela jasno, ale víme, že pro správnou a bezchybnou činnost imunitní soustavy je naprosto nezbytný a že své hlavní úkoly vykonává během prvních let života.
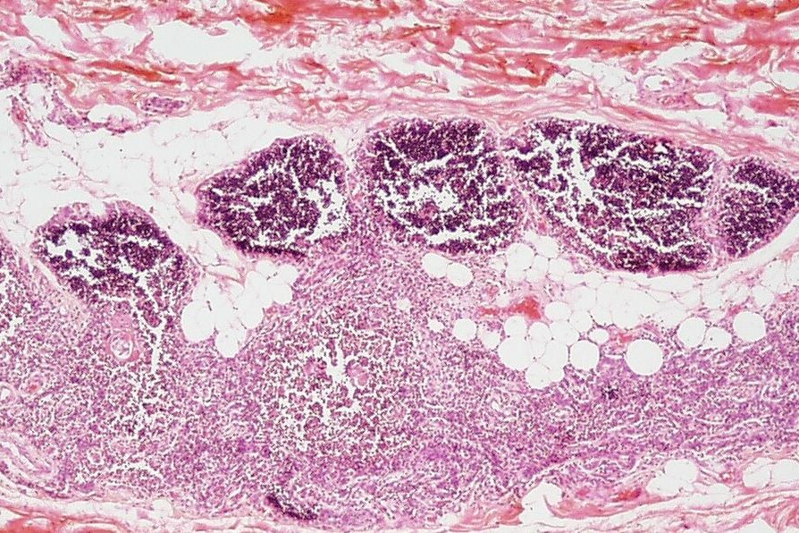
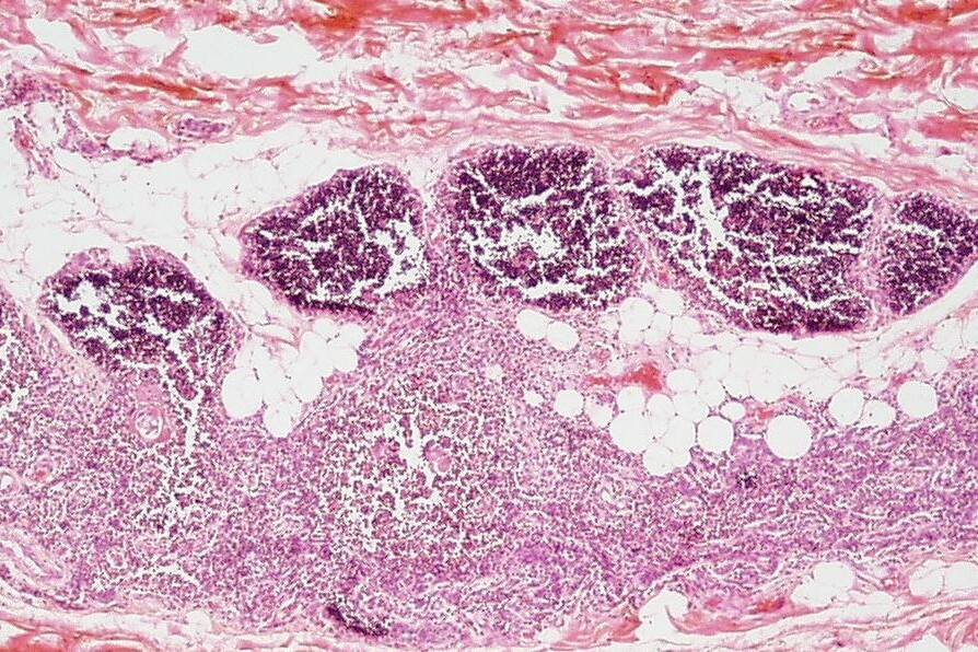
Brzlík je uložen v horní části hrudníku, kde leží těsně za hrudní kostí. U mladého dospělého člověka je jen několik centimetrů dlouhý a váží asi 15 g. Za tímto jednoduchým popisem se však skrývá skutečnost nejvýznamnější, a sice to, že tento dvoulaločnatý orgán, na rozdíl od všech ostatních, dosahuje největšího rozmachu v době puberty, kdy váží asi 45 g. Od té doby se zmenšuje a posléze zaniká a je nahrazen tukovou tkání.
U novorozence je brzlík v poměru k ostatnímu tělu značně veliký a během růstu se může poměrně volně zvětšovat směrem dolů za hrudní kost. Do věku asi sedmi let roste poměrně rychle, potom se jeho růst značně zpomalí, ale pokračuje dále až do puberty.
Po pubertě se brzlík začíná zmenšovat, dochází k procesu zvanému involuce, takže u starších osob jej již nelze najít a na jeho původním místě je jen tuková a vazivová tkáň.
Brzlík obsahuje lymfocyty, malé kulaté buňky, které jsou základními jednotkami imunitního systému. Tyto buňky se nacházejí v krvi, v kostní dřeni, v lymfatických uzlinách a ve slezině. Během zánětlivých reakcí se dostávají do tkání.
Zevní vrstva brzlíku se nazývá kůra a obsahuje velké množství lymfocytů. Uvnitř se nachází dřeň, která obsahuje vedle lymfocytů i další druhy buněk.
Je prakticky jisté, že brzlík se v prvních letech života podílí na vytvoření („naprogramování") způsobu, jakým bude imunitní systém pracovat. Zejména se jedná pravděpodobně o to, aby buňky imunitní soustavy neobrátily svou aktivitu proti tkáním vlastního těla.
Víme, že brzlík odpovídá za mnoho důležitých vlastností imunitního systému. V těle existují dva zcela odlišné druhy lymfocytů - lymfocyty T (thymové lymfocyty) a lymfocyty B. Lymfocyty T se nacházejí pod kontrolou a řídícím vlivem brzlíku (thymu). Jejich úkolem je rozpoznávání cizorodých látek a jejich likvidace, kterou provádí různými způsoby. Naproti tomu lymfocyty B nesou odpovědnost za tvorbu protilátek proti cizorodým bílkovinám, bakteriím, virům apod. Dosud přesně nevíme, jakým způsobem brzlík lymfocyty T ovlivňuje. Objevila se však jedna významná skutečnost: z celkového počtu nově vzniklých druhů lymfocytů se 95 % v brzlíku zničí ještě předtím, než dostanou vůbec příležitost brzlík opustit a dostat se do těla. Pravděpodobným důvodem je zřejmě jejich schopnost obrátit svou aktivitu proti vlastním tkáním. Ty lymfocyty, jimž je dovoleno brzlík opustit, jsou jen takové, které napadají pouze cizorodé látky.
Pokud vnímáme brzlík jako izolovaný orgán, pak je třeba říci, že jeho onemocnění jsou velmi vzácná. Je však třeba mít na paměti, že ve skutečnosti je brzlík součástí rozsáhlého imunitního sytému a jeho poruchy se mohou projevit prostřednictvím různých defektů imunity a někdy vést i k závažným nemocím.
