Dehydratace je nedostatek tekutin v těle. Ohrožuje především děti a staré lidi.

Dvanáctník je část tenkého střeva, která přispívá k trávení potravy. Částečně natrávená tekutá potrava přicházející do dvanáctníku ze žaludku obsahuje velké množství kyseliny chlorovodíkové. Zde se musí tato kyselina neutralizovat. Pokud dojde k poškození a natrávení malé plochy sliznice dvanáctníku, vzniká onemocnění zvané dvanáctníkový vřed.
Dvanáctník je první úsek tenkého střeva. Napojuje se na dolní část žaludku. Má zásadní význam pro trávení potravy. Má tvar podkovovité trubice dlouhé přibližně 25 cm, která obkružuje hlavu slinivky břišní.
Stěna dvanáctníku obsahuje dvě svalové vrstvy, které se střídavě stahují a povolují; vytvářejí tak rytmický střevní pohyb (peristaltiku), jejíž pomocí se střevní obsah během trávení pohybuje. Pod svalovou vrstvou se nachází podslizniční vrstva obsahující množství žlázek zvaných Brunnerovy žlázy. Ty vyrábějí ochranný hlen, který chrání sliznici před natrávením a před účinkem kyseliny přicházející ze žaludku spolu s tráveninou.
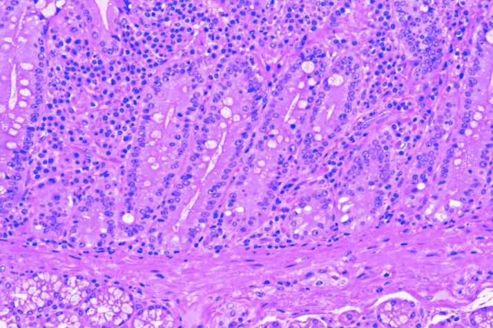
Nejvnitřnější vrstvou stěny dvanáctníku je samotná sliznice. Ve sliznici jsou žlázy produkující zásadité výměšky s obsahem trávicích enzymů. Výměšky neutralizují žaludeční kyselinu. Buňky sliznice dvanáctníku se nepřetržitě nahrazují, dělí se mnohem rychleji než ostatní buňky v lidském těle - každou hodinu se obmění asi 1 % slizničních buněk.
Částečně natrávená tekutá potrava přicházející do dvanáctníku ze žaludku obsahuje velké množství kyseliny chlorovodíkové. Zde se musí tato kyselina neutralizovat. Tohoto děje se účastní jednak výměšky samotného dvanáctníku, jednak žluč a pankreatická šťáva, které vtékají do dvanáctníku ze žlučníku a slinivky břišní společným vývodem. S jejich účastí pokračuje také proces trávení.
Nejčastějším onemocněním dvanáctníku je vytvoření dvanáctníkového vředu - natrávení malé plochy sliznice. Může také nastat situace, kdy žlučník nebo slinivka břišní, jejichž výměšky jsou pro trávení naprosto nezbytné, nepracují správně nebo kdy se sliznice dvanáctníku podráždí vlivem toxinů bakterií působících otravy potravinami. Takové případy většinou provázejí svíravé bolesti břicha a zvracení.
Při podráždění dvanáctníku se jeho svaly stahují ve chvíli, kdy se žaludek naopak uvolňuje. V důsledku toho se částečně natrávená potrava, která již žaludek opustila, vrací zpátky, což přispívá k provokaci zvracivého reflexu. Při všech střevních infekcích tohoto druhu je nejlepším opatřením po dobu 24 hodin nic nejíst, pouze pít. Pokud se potíže nezlepší během několika málo dnů je třeba vyhledat lékařskou pomoc.
Nádory dvanáctníku jsou nesmírně vzácné.
