Dehydratace je nedostatek tekutin v těle. Ohrožuje především děti a staré lidi.

Kardiomyopatie je onemocnění postihující svalové buňky srdce. Při kardiomyopatiích dochází k nadměrnému ztluštění stěny srdečních komor, nebo naopak jejich nadměrnému roztažení. Kardiomyopatie tak mají za následek nesprávnou funkci srdce, která často vede k jeho selhání.
Kardiomyopatie představuje skupinu onemocnění srdce, které vyústí v poruchu jeho funkce. Stěna srdce se skládá ze tří částí. Vnitřní povrch je tvořen tenkou vrstvičkou tkáně, tzv. endokardem, poté následuje vlastní srdeční sval, myokard a na jeho povrchu je opět tenká vrstvička tkáně tzv. epikardu. Srdci, zvláště pak myokardu, se nemoci nevyhýbají. Část těchto nemocí tvoří právě kardiomyopatie, soubor několika onemocnění, které jsou si do jisté míry podobné. Je zvláštní, že kardiomyopatie může dlouho probíhat bez toho, aby o sobě dala jakýmkoliv způsobem vědět. Někdy trápí dlouhodobě, jindy se projeví akutně a je příčinou náhlé smrti do té doby zdravých mladých lidí.
Příčiny vzniku kardiomyopatie jsou pestré. Kardiomyopatie mohou vzniknout následkem různých infekcí postihujících srdeční sval, vady přítomné na srdečních chlopních nebo následkem ischemické srdeční nemoci. Kardiomyopatie se vyskytuje rovněž u lidí s častou konzumací alkoholu. Provází také některá celková onemocnění, jako jsou revmatoidní artritida nebo sklerodermie. Dále se vyskytuje u poruch metabolismu, například u vysoké nebo nízké činnosti štítné žlázy, nebo se může vyvinout jako reakce na dlouhodobé působení vysokého krevního tlaku, následkem užívání některých léků. Sklon ke kardiomyopatii může být také dědičný. Často však zůstává příčina neznámá. Následkem bývá změna myokardu, který může být neúměrně ztluštělý nebo příliš roztažený. Někdy nejsou změny myokardu na první pohled zřetelné, to je dáno změnami na mikroskopické úrovni, kdy ubývá svalových vláken, z kterých je za normálních okolností myokard složený, a přibývá vaziva.
Příznaky kardiomyopatie závisí na jejím druhu, tedy zda jde o roztažení nebo ztluštění myokardu. Mluvíme pak o dilatační, resp. hypertrofické kardiomyopatii. Souhrnně můžeme říci, že většinou srdce pomalu přestává plnit svoji úlohu a nastává srdeční selhání. To se projeví dušností, únavou, sníženou výkonností, otoky dolních končetin, ztrátou vědomí nebo i bolestí na hrudníku. Hypertrofická kardiomyopatie, při které dochází ke ztluštění stěny, může být bezpříznaková. Protože součástí myokardu je elektrický systém zabezpečující činnost srdce, nastane při kardiomyopatií nezřídka porucha jeho funkce a objevují se arytmie. V postiženém srdci bývá sklon k vytváření krevních sraženin, které mohou být ze srdce vypuzeny a zaklínit se například v mozku, kde způsobí mozkový infarkt. Následkem srdečního selhání může, i okamžitě, dojít ke smrti.
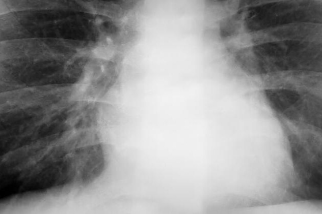
Diagnostika kardiomyopatie spočívá v pečlivé anamnéze s analýzou klinických projevů a samotným vyšetření lékařem. Při poslechu srdečního rytmu za pomocí fonendoskopu si lékař může všimnout arytmie, tedy nepravidelného rytmu srdce. Pro správnou diagnózu je nutné použít i zobrazovacích metod, jako je rentgen plic, či echokardiografii, tedy ultrazvuk srdce, na kterém můžeme pozorovat změny srdeční stěny. Jelikož se příznaky podobají ischemické chorobě srdeční, je nutné k jejímu vyloučení provést koronarografii, tedy zobrazení cév pod rentgenovými paprsky po jejich náplni kontrastní látkou.
I přes pokroky v diagnostice a léčbě kardiomyopatie, je prognóza tohoto onemocnění stále často nepříznivá, zvláště u starších lidí trpících dalšími onemocněními. Terapie kardiomyopatie není vždy jednoduchá.
Základem léčby dilatační kardiomyopatie je farmakoterapie. Užívají se léky různých skupin, jde především o léky na snižování krevního tlaku nebo léky na snížení srdeční frekvence. Pokud dochází k městnání krve, nasazují se i diuretika. Pro prevenci vzniku žilní trombózy, tedy krevních sraženin, je nutné užívat i léky na snížení srážlivosti krve, nejčastěji Warfarin. Samozřejmostí je fyzický klid pacienta a omezení soli v potravě. V nejtěžších případech je nutné přistoupit k transplantaci srdce.
Léčba hypertrofické kardiomyopatie spočívá ve fyzickém klidu pacienta a účinné farmakoterapii. Pacienti užívají diuretika na snížení vysokého tlaku a vylučování tekutin z těla. Dále je nutné užívat antiarytmika a léky na snížení srdeční frekvence. U pacientů s hypertrofickou formou kardiomyopatie, u kterých hrozí náhlá smrt, se implantuje preventivně kardioverter-defibrilátor, což je speciální přístroj stimulující srdce ke stahům. V nejtěžších případech je pacient indikován k implantaci umělého srdce a k transplantaci.

Diskuze