Dehydratace je nedostatek tekutin v těle. Ohrožuje především děti a staré lidi.

Trápí vás potíže s krví? Náš tým lékařů sepsal kompletní přehled informací o hlavních příznacích a příčinách leukemie a lymfomů. Zaměřili jsme se na nejčastější komplikace jako jsou akutní leukemie či chronická leukemie a Hodgkinův lymfom nebo Non-Hodgkinův lymfom. A příznaky leukemie, kam patří chudokrevnost, bolestivé uzliny nebo únava.
Pokud byste přece jen nenašli pomoc, podívejte se do diskuze nebo se zeptejte v odborné poradně.
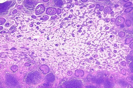
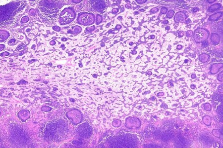
Hodgkinova nemoc je druh rakoviny lymfatické tkáně, který postihuje především mladé lidi do 30 let. U Hodgkinovy nemoci rozeznáváme různá stadia. První stadium je počáteční fází onemocnění, kdy je postižena jen jedna skupina uzlin. Druhé stadium představuje pokročilejší onemocnění, kdy jsou postiženy dvě blízké skupiny uzlin. Ve stadiu třetím a čtvrtém jde již o těžší postižení, kdy jsou zvětšeny mízní uzliny povšechně.
Lymfatický systém je soubor orgánů, jejichž úkolem je bránit organismus proti škodlivým vlivům. I lymfatický systém však může podlehnout onemocnění. Nemoci lymfatického systému mohou být velmi závažná a neměla bý být podceňována.
Lymfatické uzliny a cévy jsou důležitou součástí obranného systému člověka. Lymfatické cévy slouží k tomu, aby tkáňový mok, tekutina vznikající prostupemz krevních cév, odváděly zpět do krve. Tkáňový mok je na své cestě filtrován systémem lymfatických uzlin. Zvláště lymfatické uzliny jsou náchylné k různým onemocněním.
Burkittův lymfom je zhoubný nádor vycházející z lymfatické tkáně. Burkittův lymfom je nejčastěji lokalizován v oblasti dolní čelisti, méně často pak ve střevě, vaječníku, prsní žláze nebo ledvině. Nejčastější typ Burkittova lymfomu je tzv. endemický typ, vyskytující se téměř výhradně v Africe. Méně častý je pak tzv. evropský typ postihující kohokoliv bez rozdílu věku a pohlaví.
Mnohotný myelom je zhoubné onemocnění krve vycházející z nádorově změněných bílých krvinek. Podstatou mnohotného myelomu je nadměrné množení tzv. B lymfocytů, buněk imunitního systému, produkujících protilátky. Tyto protilátky se ve zvýšené míře hromadí v organismu, což vede k narušení řady funkcí.
Non-Hodgkinův lymfom představuje skupinu nádorových onemocnění lymfatického systému, který se významnou měrou podílí na přirozené obranyschopnosti organismu. Non-Hodgkinovy lymfomy se projevují zvětšením lymfatických uzlin, únavou,či větší náchylností k nemocem. Non-Hodgkinův lymfom je závažné onemocnění, kterému musí být věnována řádná pozornost.
Leukemie je nádorová nemoc charakterizovaná masivní tvorbou nefunkčních krvinek na úkor zdravé krvetvorby. Leukemie u dětí jsou o to závažnější, že většinou probíhají velmi rychle a nebezpečně. Léčba dětských leukemií je u nás naštěstí soustředěna do specializovaných center, která mají fantastické výsledky.
Chronické leukemie jsou nemoci, při kterých dlouhodobě dochází k produkci nefunkčních krevních buněk. Při chronické leukemii tyto nefunkční krvinky vytlačují produkci zdravých krevních buněk, a poškozují tak organismus. Naštěstí nejsou chronické leukemie bezprostředně tak nebezpečné, jako jejich akutní varianty.
Akutní leukemie jsou závažná onemocnění krevních buněk probíhající v řádu týdnů a měsíců. Akutní leukemie jsou charakteristické masivní produkcí nefunkčních červených i bílých krvinek, včetně kreních destiček, které zcela vytlačí produkci zdravých krevních buněk. Příznaky akutních leukémií jsou dány právě touto nepřítomností funkčních krvinek.
Krev je důležitou složkou těla člověka. Krev má za úkol obsluhovat všechny buňky v našem těle a přivádět k nim kyslík a živiny. Zároveň musí krev od buněk odvádět odpadní zplodiny metabolismu. Krev se skládá z krevní plazmy a z buněk - červených krvinek, bílých krvinek a krevních destiček.
Hodgkinův lymfom je nádorové onemocnění lymfatické tkáně. Hodgkinův lymfom se většinou projevuje zduřením lymfatických uzlin a dalšími nespecifickými příznaky, jako je pocení, horečka, nebo zvracení. Léčba Hodgkinova lymfomu tkví především v ozařování a chemoterapii.
Leukemie jsou onemocnění krve, při kterých dochází k nekontrolovanému množení krevních buněk, které jsou však nefunkční. Při leukemii tak tvorba těchto nefukčních buněk zcela vytěsní tvorbu zdravých krvinek, které se tělu nedostávají. Z toho plynou i příznaky leukemie.
Neprospívání je stav, kdy dítě neroste a nepřibírá na váze tak, jak by mělo. U dospělého se jedná o hubnutí. Důvodů pro neprospívání je celá řada a jsou rozdílně závažné. Příčinou může být nevhodná strava, nedostatečný příjem potravy, zvracení, porucha trávení, dědičná onemocnění nebo psychické vlivy. Proto by dítě mělo být pod pravidelnou kontrolou dětského lékaře, aby se včas odhalilo nedostatečné přibývání na váze a výšce a mohl se tento problém řešit.
Malátnost, odborným názvem adynamie nebo astenie, je termín pro celkovou tělesnou slabost a zároveň příznakem, který nesmí být podceňován. Bývá často důsledkem nedostatečného příjmu tekutin, doprovází akutní infekční onemocnění s horečkou, ale může být příznakem i mnohem vážnějších onemocnění.
Anémie neboli chudokrevnost je choroba, která je dána nízkým počtem funkčních červených krvinek. Mezi hlavní příznaky anemie patří snížená fyzická výkonnost, snadná únavnost, dušnost a bledost...
Bolestivé uzliny jsou příznakem, který by neměl být nikdy podceněn. Uzliny jsou sídlem imunitních buněk, a k jejich zvětšení dochází při zánětu, kdy se imunitní buňky množí a bojují proti infekci. Takto zduřené uzliny bolí. Uzliny mohou být zvětšeny i při nádorech, v této situaci jsou ale většinou nebolestivé...
Chudokrevnost u dětí je závažný problém, protože děti trpící chudokrevností druhotně trpí opožděným vývojem. Chudokrevnost je u dětí nejčastěji způsobena nedostatkem vitaminu B12 a vznikem tzv. megaloblastové anemie. Chudokrevnost u dětí se nesmí nikdy podcenit a vždy musí být řádně léčena...
Bílkoviny jsou látky, které se smí v moči vyskytovat jen ve velmi omezeném množství. Zvýšená hladina bílkovin v moči ukazuje na různé patologické procesy. Bílkoviny v moči tak mohou ukazovat na záněty, systémová onemocnění, nebo přímo na onemocnění ledvin, které moč tvoří.
Únava je pocit, který nám byl dán proto, abychom se chránili před nadměrným vyčerpáním, které může - jak víme - vážně poškodit naše zdraví. Únava je však také často známkou onemocnění, a to i velmi závažného. Proto byste dlouhodobou nepřiměřenou únavu neměli v žádném případě podceňovat...
Horečka je stav organismu, při kterém je jeho teplota vyšší než 38º Celsia. Je zřejmé, že horečka není univerzálně špatný příznak - pomáhá nám totiž bojovat s nemocí. Uvědomme si ale, že horečka náš organismus také vyčerpává a navíc může být způsobena nejen běžnou infekcí, ale také řadou vážných nemocí...
Hematom, modřina nebo podlitina je poměrně častý nález, který obvykle doprovází tupá poranění. Je to v podstatě podkožní krevní výron vzniklý traumatem drobných krevních cévek. Avšak nejen mechanické poškození může být příčinou hematomu. Na vině může být daleko vážnější problém v podobě poruchy srážlivosti krve. Jaké jsou další příčiny a léčba hematomu?
Pocení je pro člověka nezbytný proces, jelikož reguluje tělesnou teplotu. Je přirozené se více potit v teple, při námaze, horečce, nervozitě nebo stresu. Při pocení se tělo ochlazuje a vyměšuje škodlivé látky. Avšak nadměrné pocení může dost znepříjemnit život nejen postiženému, ale i jeho okolí. Nadměrné pocení může být i příznakem různě vážných onemocnění a proto je nutné nechat se vyšetřit lékařem, který doporučí vhodnou léčbu.
Horečka u dětí je zvýšení tělesné teploty nad 37,5°C. Horečka u dětí může být způsobena mnoha faktory, například chřipkou, nachlazením, ale i různými zánětlivými onemocněními. V léčbě horečky u dětí se používá hlavně metod mechanického snížení teploty pomocí zábalů nebo vkládání ledových kostek do třísel. Horečka u dětí by neměla být nikdy brána na lehkou váhu, může totiž poukazovat na jinak skrytá onemocnění a komplikace.
Leukemie jsou nemoci, při kterých dochází k produkci nefukčních krevních buněk na úkor zdravých krvinek. Léčba leukemí spočívá jednak ve zničení všech škodlivých leukemických buběk, jednak v obnově přirozené krvetvorby. Léčba různých druhů leukemí se od sebe liší...























