Dehydratace je nedostatek tekutin v těle. Ohrožuje především děti a staré lidi.

Hlavní funkcí ledvin je filtrace krve, tedy její očišťování od škodlivých látek či léků. Jednou z dalších funkcí je, že ovlivňují vstřebávání vody z primární moči. Ledvinové kameny pak vznikají z minerálů, které jsou rozpuštěny v moči, pokud je koncentrace těchto kamenotvorných látek vysoká. Rozeznáváme jich několik typů podle složek, které jsou v kamenech zastoupeny. Jak poznáme, že můžeme mít ledvinové kameny a co s tím dál?
Ledviny jsou párový orgán uložený v břišní dutině, jehož hlavní funkcí je filtrace krve. Díky ní je krev očištěna o zplodiny metabolismu, škodliviny a léky, které odcházejí z těla prostřednictvím moči. Zastávají celou řadu jiných funkcí, upravují celkový objev vody v organizmu dle momentální potřeby tak, že sníží či zvýší zpětné vstřebávání vody z primární moči. Podílejí se na úpravě krevního tlaku. Ledvinové kameny vznikají z minerálů, které jsou rozpuštěny v moči, pokud je koncentrace těchto kamenotvorných látek vysoká. Kameny mohou vzniknout v pánvičce, močovodu nebo až v močovém měchýři.
Podle krystalů, které ledvinové kameny tvoří, rozeznáváme různé typy ledvinových kamenů. Nejčastěji obsahují šťavelan vápenatý, fosforečnan vápenatý, cystin. Málo časté jsou tzv. struvitové kameny a kameny obsahující krystaly léků, které pacient užívá. Nejčastější příčinou vzniku ledvinových kamenů je:
Příčinou vzniku ledvinových kamenů mohou být i metabolická onemocnění jako:
Vznik struvitových kamenů je vždy spojen s infekcí močových cest a působením bakterií, které jsou schopné štěpit močovinu na čpavek za současného okyselování moči. Cystinové kameny vznikají při vysokém obsahu cystinu v moči, jak je tomu například u Fanconiho choroby, kde je narušeno vstřebávání některých látek v nefronu.
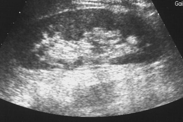
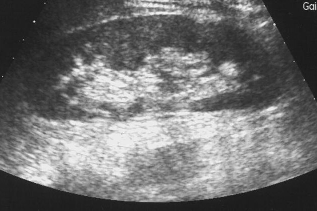
Ledvinové kameny opouštějí tělo močí, pokud jsou malé, může to proběhnout bez příznaků. Pokud jsou kameny větší než 2–3 mm mohou způsobit ucpání močovodu a způsobit překážku odtoku moči. Ve snaze o překonání této překážky se svalovina ve stěně močovodu začne křečovitě stahovat a uvolňovat. To je příčinou vzniku urputných bolestí, které jsou nazývané jako ledvinová kolika. Bolest při ledvinových kamenech má charakteristický kolísavý charakter. Bolest je pociťována v bederní oblasti a vystřeluje podél močovodu do podbřišku, šourku či stydkých pysků. Časté jsou doprovodné příznaky jako nevolnost a zvracení, může dokonce dojít k zástavě pohybu střev. Další příznaky ledvinových kamenů je přítomnost krve v moči. Důvodem je drobné poranění vnitřní stěny pánvičky, močovodu či stěny močového měchýře při pohybu kamene. Setkáváme se s méně častým močením, bolestivým močením a přítomností hnisu v moči. Závažnou komplikací je rozvoj hydronefrózy. Hydronefróza je patologicky vzniklé rozšíření ledvinné pánvičky (připojuje ledvinu k močovodu) hromadící se močí. Diagnostika nemoci je založena především na popisovaných příznacích onemocnění a zobrazovacích technikách, radiologických či ultrazvukových.
Léčba ledvinových kamenů je konzervativní a chirurgická. Konzervativní metody jsou založeny na podpoře spontánního vyloučení kamene močí. Jde především o dostatečný příjem tekutin. Podávání diuretik, která podpoří tok moči a zabrání vytvoření dalších kamenů. Důsledná léčba infekcí močového traktu. Podávání léků tišících bolest. Zde se nejprve podávají nesteroidní antirevmatika, pokud nejsou účinná, užívají se opioidy. Nesteroidní antirevmatika jsou léky, které mají protizánětlivý, antipyretický (snižující zvýšenou tělesnou teplotu) a analgetický (tlumící bolest) účinek. Opioidy mají především silný protibolestivý účinek.
Pokud bolest neustupuje, hrozí selhání ledvin, infekce atd. volí se chirurgické řešení. Výjimečně se používá otevřený chirurgický zákrok. Ledvinové kameny jsou drceny na menší části buď neinvazivní mimotělní nárazovou litotripsí, nebo přístupem přes močovou trubici za užití laseru, ultrazvuku či mechanickou silou. Takto rozdrcené kameny poté opouštějí tělo s močí. Z preventivních opatření vzniku ledvinových kamenů je důležitý dostatečný příjem tekutin (ale snížit příjem tekutin s kofeinem). Dietní opatření snižující příjem potravin se šťavelany (čokoláda, ořechy, špenát). Dieta s nižším příjmem proteinů, sodíku a dusíku.

Diskuze