Dehydratace je nedostatek tekutin v těle. Ohrožuje především děti a staré lidi.

Trápí vás potíže s vaječníky? Náš tým lékařů sepsal kompletní přehled informací o hlavních příznacích a příčinách obtíží vaječníků. V článcích najdete tipy a rady, jak postupovat, aby se vám ulevilo. Zaměřili jsme se na nejčastější komplikace jako je zánět vaječníku či nádory vaječníků a nastydlé vaječníky nebo cysta na vaječníku. A příznaky onemocnění vaječníků, kam patří bolesti v podbřišku, zpoždění menstruace nebo křeče v břiše.
Pokud byste přece jen nenašli pomoc, podívejte se do diskuze nebo se zeptejte v odborné poradně.
Nitroděložní tělísko neboli IUD (intrauterine contraception device) je formou antikoncepce, kterou zavádí gynekolog přímo dovnitř dělohy. Její velkou výhodou je, že se od ženy nevyžaduje žádná další péče.
Hormony jsou chemické látky vyplavované v jedné části těla a krví dopravované ke svým cílovým buňkám. Všeobecně hormony ovlivňují a řídí chemické reakce v cílových buňkách, například ovlivňují rychlost, s jakou tyto buňky zpracovávají živiny a tvoří energii. Hormony mají souvislost také s naším emocionálním stavem, a to především u žen těsně před menstruací.
Cysty jsou dutiny vyplněné tekutinou nebo hutnou hmotou a mohou se tvořit kdekoliv v těle. Ve většině případů se tkáň začne cysticky měnit a vytvoří cystu bez jakékoliv zjevné příčiny. Platí to pro naprostou většinu cyst. Příznaky cysty závisejí na jejím umístění a typu. Pokud se cysta nachází pod kůží, většinou se projeví jako zduření nebo hrbol, u vaječníků může cysta vyvolat pocit napětí v břiše.
Vejcovody jsou duté trubice, které spojují dělohu a vaječníky. Ve vejcovodech většinou dochází k oplodnění vajíčka mužskou pohlavní buňkou, spermií. Vzniklé embryo potom putuje vejcovodem směrem do dělohy, kde se vyvíjí a roste. Nemoci vejcovodů, pokud nejsou včas a dobře léčeny, bývají příčinou neplodnosti ženy a v případě vzácné rakoviny vejcovodu i možnou příčinou smrti.
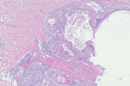
Nádory vaječníků jsou nebezpečné vzhledem ke svému umístění a také proto, že jsou v časných stádiích bez příznaků. Léčba spočívá v chirurgickém odstranění nádorů. Mezi rizikové skupiny patří ženy, které měly časně první menstruaci, pozdní nástup menopauzy, také zde hraje roli dědičnost. Velice důležitá u nádoru vaječníků je jeho prevence. Proto navštěvujte pravidelně svého gynekologa.
Nastydlé vaječníky je neodborný termín pro zánět vaječníků, popřípadě orgánů pánevní oblasti. Nastydlé vaječníky bývají způsobeny bakteriemi, nejčastěji přenesenými při pohlavním styku. Nastydnutí neboli chlad může celý průběh onemocnění zhoršovat, ne ho však vyvolat. Jako účinná léčba se nasazují antibiotika, přesto se však nevyplatí nastydlé vaječníky podcenit. Důsledkem tohoto oněmocnění může být totiž trvalá neplodnost způsobená například srůsty na vaječnících.
Zánět vaječníku je vážné infekční onemocnění způsobené bakteriemi, které se často šíří při pohlavním styku. Nepříznivý vliv na zánět vaječníku může mít také prochladnutí, to však není přímým vyvolavatelem nemoci. Hlavními příznaky onemocnění jsou bolest v podbřišku, horečka a zimnice. Vzhledem k rizikům neplodnosti po prodělaném zánětu vaječníku, by každá podezřelá bolest v podbřišku měla být řádně vyšetřena.
Cysta na vaječníku je označení pro jakoukoliv dutinku, která je vyplněna tekutinou a vyskytuje se v prostředí vaječníku. Většina cyst se vytváří běžně a za nějakou dobu sama zaniká. Některé cysty mohou však přetrvávat, být bolestivé a po jejich prasknutí způsobit krvácení. Proto by každá objevená cysta na vaječníku nebo častá bolest v podbřišku měly být pečlivě zkontrolovány lékařem a dále sledovány, popřípadě odoperovány.
Vaječníky jsou součástí pohlavního ústrojí ženy. Hlavní funkcí vaječníků je produkce pohlavních buněk, vajíček. Další funkcí vaječníků je produkce hormonů, které mají vliv na vznik sekundárních pohlavních znaků. Vaječníky jsou nezbytným orgánem pro tzv. ovariální cyklus, tedy pro rozmnožování. Bohužel i vaječníky mohou být postiženy různými onemocněními, mezi nejčastější patří cysty, výjimkou však nejsou ani nádory.
Bolest v boku je častý nepříjemný pocit, který čas od času zažívá každý z nás. Mezi příčiny bolesti v boku patří například sport - všichni známe onen nepříjemný pocit, který cítíme třeba při běhu. Bolest v boku může být také výsledkem různých závažných onemocnění dutiny břišní, a objeví li se bez zjevné příčiny, neměla by být brána na lehkou váhu...
Křeče v břiše jsou nepříjemným problémem, který čas od času trápí každého z nás. Křeče v břiše jsou nejčastěji způsobeny nadýmáním, průjmem nebo zácpou, u žen také menstruací. Existuje ale celá řada závažných příčin křečí v břiše, a proto bychom tento příznak neměli za žádných okolností podceňovat...
Bolest břicha je častý nepříjemný pocit, kterým občas trpí každý z nás. Někdy je bolest břicha příznakem stravovací chyby, kdy sníme nebo vypijeme něco nevhodného. Jindy ale může být bolest břicha známkou závažných, ne zřídka až život ohrožujících stavů. Žádná bolest břicha by proto neměla být podceněna...
Bolesti v podbřišku mohou být projevem onemocnění orgánů, které jsou umístěné v této oblasti. U žen jsou často bolesti v podbříšku spjaty s jejich menstruačním cyklem. Dále mohou bolesti v podbříšku znamenat nejrůznější onemocnění trávicího nebo močového traktu. Bolesti v podbříšku nelze brát na lehkou váhu a vždy je lepší vyhledat lékařskou pomoc.
Zpoždění menstruace je nepříjemná odchylka v menstruačním cyklu, která může a nemusí souviset s nemocí. Mezi běžné a méně závažné příčiny nepravidelné menstruace patří stres, změna životního stylu a například také hubnutí. Zpožděná menstruace může být ale také výsledkem poruchy hormonálních hladin, poruchy v pohlavních orgánech a někdy také nádorovým onemocněním...
Krvácení mimo menstruaci může být příznakem onemocnění pohlavních orgánů, především dělohy, avšak může být také nežádoucím účinkem při užívání hormonální antikoncepce či různých léků. Jaké krvácení se může objevit a u jakých onemocnění je krvácení mimo menstruaci příznakem najdete v tomto článku.
Hormonální doplňková léčba se uplatňuje v případě, že tělo neprodukuje dostatek vlastních hormonů, a proto je nutné je nahradit ve formě tablet nebo injekcí. K hormonální léčbě se přistupuje např. při menopauze žen. Odstraňuje návaly horka a brání atrofii poševní sliznice, i když toho se dá dosáhnout i aplikací krémů s obsahem estrogenů.
Hormonální antikoncepce je asi nejznámější metodou k zábraně početí. Některé hormonální antikoncepce brání ovulaci, jiné ztěžují proniknutí spermií k vajíčku nebo zamezí usazení oplodněného vajíčka v děloze. Kromě ochrany před početím má hormonální antikoncepce další pozitivní účinky na organismus, například omezují vznik cyst v prsou, zlepšují pleť při akné a snižují tvorbu ušního mazu.
Antikoncepce je metoda k zábraně početí. Mezi nejznámější antikoncepční metody patří kondomy, nitroděložní tělíska, hormonální antikoncepce, metody neplodných dnů či poševní pesary. V tomto článku najdete jejich detailní popis, výhody či nevýhody.
Léčba nádorů vaječníků je závislá na konkrétním druhu nádoru a době, kdy je nádor objeven. Nezhoubné nádory, tzv. cysty, jsou častější a méně nebezpečné oproti zhoubným nádorům, které jsou převážně objeveny v pozdních stádiích a jejich léčba je již velmi omezená. V léčbě nádorů vaječníků se nejčastěji užívají operativní zákroky, popřípadě chemoterapie. Důležité je také po zákroku absolvovat pravidelné kontroly , při kterých je vyloučen návrat nádoru.

















