Dehydratace je nedostatek tekutin v těle. Ohrožuje především děti a staré lidi.

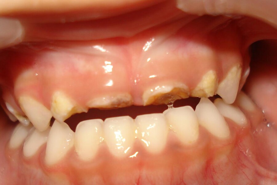
Podle výsledků právě probíhajícího projektu Zdravé zuby se Zaměstnaneckou pojišťovnou Škoda potřebuje např. v Mladoboleslavském kraji okamžité ošetření u zubního lékaře více než 50 % dětí v mateřských a základních školách.
Zdravé zuby jsou novým zdravotně-preventivním projektem, který se zaměřuje na osvětu v oblasti správné péče o dětský chrup ve třídách mateřských a základních škol v Mladoboleslavském kraji. Pod vedením zkušeného lektorského týmu studentů oboru Zubní lékařství je v současné době proškolováno 100 tříd, přibližně 2000 dětí, které se učí správně pečovat o své zuby.
Z jakého důvodu se pojišťovna zapojila do projektu, vysvětluje Ing. Jiří Těhan, MBA, ředitel Odboru pojistných vztahů a marketingu následovně: „Preventivní projekty považujeme za základní stavební prvek komunikace s našimi klienty a i v minulých letech se nám osvědčily jako nejlepší cesta k podpoře jejich zdraví, a k tomu dodává: „Kde jinde bychom měli začít než s naší nejmladší generací. Líbí se nám individuální přístup k dětem v rámci projektu a možnost okamžitě informovat rodiče o stavu chrupu jejich dětí.“
K probíhajícímu projektu se vyjádřil také MDDr. Ing. Lukáš Kaloš, koordinátor projektu Zdravé zuby se Zaměstnaneckou pojišťovnou Škoda a zakladatel občanského sdružení Nechci kazy: „Stav zubní hygieny u dětí předškolního a školního věku je celorepublikově obecně na velmi špatné úrovni. Cílem projektu je naučit děti již od jejich nejútlejšího věku, jak správně pečovat o své zoubky. Naše zkušenosti ukazují, že neexistuje lepší metoda než individuální nácvik techniky čištění zubů.“
Výukový program je rozdělen na tři části a trvá 60 minut. Nejdříve lektoři pracují s celou třídou a poté jsou žáci rozděleni na dvě samostatně pracující skupiny. Výhodou práce v malých skupinách je možnost důkladného vysvětlení správné techniky čištění zubů a individuální práce s jednotlivými dětmi. Lektoři tohoto cíle dosahují za pomoci názorných metod, vlastním prožitkem a nácvikem. Dvoučlenný lektorský tým spolu po celou dobu výuky spolupracuje a hraje při výuce odlišné role. Důležitou roli v programu hraje pohádka, jejímž cílem je posílení motivace dětí k čištění zubů. Děti se zapojují do tvorby děje pohádky, což je zaujme a lépe se díky tomu zapojí do programu. Součástí nácviku je také ukázka zubařských nástrojů, které si děti samy mohou vyzkoušet, jak fungují. Cílem je odbourat strach dětí ze zubařského ošetření. Třetí část programu tvoří zjednodušená prohlídka chrupu dětí. Záznam o stavu chrupu je zaslán rodičům, aby získali okamžitou zpětnou vazbu a mohli v případě potřeby s dětmi vyhledat lékařské ošetření. Děti dostanou na konci výuky od lektorů omalovánky s informacemi pro rodiče a zubní kartáček.
