Dehydratace je nedostatek tekutin v těle. Ohrožuje především děti a staré lidi.

Fobie je velmi intenzivní a neopodstatněný strach z předmětu či situace, jako např. otevřená prostranství, zvířata, temnota nebo setkání s jinými lidmi. Na rozdíl od jiných psychických poruch jsou fobie mezi lidmi překvapivě rozšířené. Odhaduje se, že nějakým druhem fobie trpí asi 8 % všech dospělých. Jaké jsou příznaky fobií a jak se léčí najdete v tomto článku.
Flebitida je označení pro zánětlivé postižení žil. Ve většině případů provází zánět silná bolest, která pacienta v noci budí, a pokud se nemoc neléčí, postižená oblast se nadále zvětšuje a silně bolí. Při flebitidě hlubokých žil hrozí nebezpečí uvolnění krevní sraženiny a následné ucpání plicní tepny za vzniku plicní embolie či okamžité smrti.
Fetování bývá mezi mládeží první cestou seznamování s drogami. Čichání par lepidel či jiných chemikálií způsobuje příjemný pocit a euforii podobně jako při intoxikaci alkoholem, ovšem tato činnost může vést k smrtelným poruchám srdečního rytmu, křečím a bezvědomí.
Enzymy jsou látky, které urychlují chemické reakce v těle a tím umožňují organismu žít a fungovat. Enzymy se vyskytují v celém organismu ve stovkách různých druhů. Za mnohými onemocněními stojí nedostatek určitého enzymu. Například albínům chybí enzym tyrozináza, který se účastní tvorby kožního pigmentu melaninu.
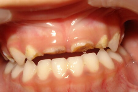
Podle výsledků právě probíhajícího projektu Zdravé zuby se Zaměstnaneckou pojišťovnou Škoda potřebuje např. v Mladoboleslavském kraji okamžité ošetření u zubního lékaře více než 50 % dětí v mateřských a základních školách.
Endokrinní systém je systém žláz vyměšující hormony, které se vyplavují do krevního oběhu a odtud řídí důležité pochody v našem těle. Žlázy rozdělujeme na žlázy s vnější sekrecí, jako například potní žlázy a žlázy s vnitřní sekrecí, které vyplavují hormony a v případě slinivky břišní i např. inzulín.
Eklampsie a preeklampsie jsou stavy vyskytující se často během prvního těhotenství. Jedná se o pokles krevního průtoku ledvinami, což zčásti vysvětluje to, že se v těle matky zadržuje voda, klesá také průtok krve placentou, takže se plodu snižuje množství dostupných živin. Mezi příznaky těchto stavů patří rychlý vzestup váhy a otoky prstů a kloubů.
Dyslexie je vada, při které je narušeno vnímání slov a písmen. Zrak a sluch však u dyslektiků nijak poškozené nejsou. Dyslexie zahrnuje potíže při čtení, poruchu schopnosti porozumět dlouhým slovům, potíže při psaní či potíže při počítání. Jakmile se dyslexie rozpozná, je třeba začít u dětí i dospělých s nápravnými programy, z nichž některé lze individuálně přizpůsobit.







